幾乎每個人都有拔智齒的經驗,還沒拔的人可能一直猶豫:智齒要拔嗎?拔智齒好像有點可怕?智齒不會痛是不是就可以不用拔?
楊醫師利用本篇文章詳細說明,智齒可能造成哪些口腔健康問題,以及如何預防智齒發炎。本文將從智齒的基礎知識、發炎原因與症狀分級、不同智齒類型的風險評估、矯正期間的處理策略,到拔牙術後照護與費用保險,提供完整的判斷依據。只要注意以下幾點,並搭配專業醫師的判斷,就不用太擔心智齒會造成不良影響!
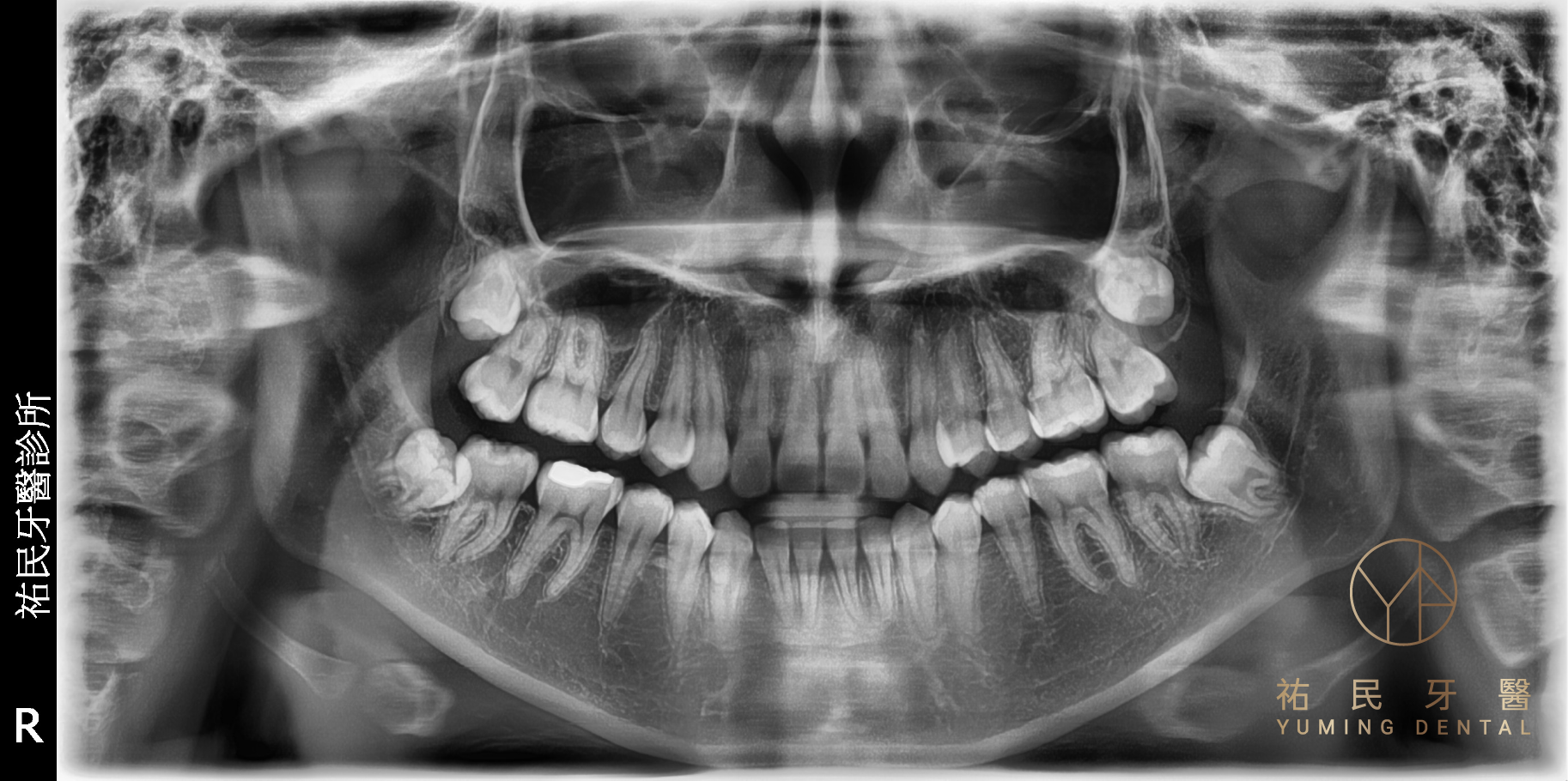
一、智齒是什麼?智齒什麼時候長?
智齒的學名為「第三大臼齒」(Third Molar),從上下顎中心點開始數,第 8 顆牙齒就是智齒。人類恆齒系統共 32 顆,其中 4 顆智齒是最後萌發的牙齒,位於口腔齒列的最末端。

1. 長智齒的年齡
大約在 9~10 歲時,就能從 X 光片中看到智齒的牙胚。智齒萌發的時間通常在 17~25 歲左右,這時人的生理與心理智慧都逐漸成熟,因此取名為智齒。
2. 長智齒的差異
大約在 9~10 歲時,就能從 X 光片中看到智齒的牙胚。
有的人 18 歲就長智齒,有人可能 40 歲才長智齒,甚至有人終其一生都埋在骨頭裡(隱藏版智齒)。若較早或較晚萌發智齒都不用太擔心,只要定期到牙醫診所檢查即可。
3.智齒在現代人口腔中的角色
從演化觀點來看,智齒原本的功能是在前方大臼齒磨損或缺損後,作為替補的咀嚼工具。然而現代人飲食精緻化、齒列缺損率下降,加上人類下顎骨在演化過程中逐漸縮短,智齒的生長空間愈來愈不足。根據臨床統計,約有 80% 至 90% 的亞洲人智齒位置或角度異常,這正是智齒問題如此普遍的根本原因。
二、智齒發炎的原因及可能出現的症狀
許多人是在智齒長出一小角或智齒造成牙齦腫的時候才發現它的存在。以下是常見的發炎原因與長智齒的症狀:
1. 智齒擠壓到其他牙齒(齒列擁擠)
智齒生長空間不足時,會往前擠壓,造成齒列擁擠甚至牙齒歪斜。
2. 智齒生長受阻(智齒長出一小角)
若智齒歪斜或智齒長在肉裡,會形成清潔死角。食物殘渣堆積會導致智齒發炎、紅腫、流血,甚至引發嚴重的牙周病。臨床上,這類半萌出的智齒是造成冠周炎最常見的型態。
3. 智齒咬合無法對應
若對向沒有對應的智齒,智齒會過度生長(過度萌發),壓迫到下方的牙肉,長期摩擦會導致牙齦發炎,甚至造成顳顎關節不適。
4. 智齒蛀牙且造成鄰牙病變
智齒位置最靠後,極難清潔。一旦變成蛀牙,細菌會侵蝕象牙質,讓牙齒對冷熱敏感,甚至侵蝕到牙髓腔,引發智齒痛到睡不著的劇痛。
更關鍵的是,歪斜智齒與第二大臼齒之間的縫隙會讓鄰牙從牙根處開始蛀蝕,等到疼痛就醫時,往往不只智齒要拔,連前方的臼齒都需要治療。


5. 智齒冠周炎
當智齒只長出來一點點,周圍的牙肉瓣容易藏污納垢,形成「智齒冠周炎」(Pericoronitis)。這是智齒痛的原因中最常見的一種,發炎從輕微到嚴重的典型進程如下:
| 嚴重程度 | 症狀表現 | 建議行動 |
| 輕度 | 牙齦微腫、刷牙時出血、智齒周圍發紅 | 加強清潔、生理食鹽水漱口、預約牙醫檢查 |
| 中度 | 持續性鈍痛、咬合加劇、臉頰微腫、張口受限 | 儘速就醫,醫師開立消炎止痛藥與抗生素 |
| 重度 | 化膿、口腔異味、發燒、吞嚥困難、頸部淋巴結腫大 | 高度懷疑蜂窩性組織炎,須立即掛急診處理 |

6. 智齒發炎可以拔嗎?
智齒發炎時,通常不建議在「急性發炎期」立即拔除,但具體仍需由牙醫師評估。
(1) 為什麼發炎當下通常不建議拔智齒?
大部分牙醫師會建議先消炎、後拔牙,主要有以下三個原因:
- 麻醉效果變差:發炎組織的酸鹼值(pH值)會改變,導致局部麻醉藥的效果大幅下降,拔智齒過程會非常疼痛。
- 感染擴散風險:在急性期強行拔智齒,細菌可能隨傷口進入血液或深部組織,引發更嚴重的「蜂窩性組織炎」。
- 傷口癒合慢:發炎中的組織充血腫脹,術中出血量較多,術後傷口也較難癒合。
(2) 不同智齒發炎狀況的處理方式
醫師會根據你的嚴重程度決定時機:
| 發炎狀況 | 處理建議 | 醫師處置方式 |
| 急性期 (紅腫劇痛、化膿、張口困難) | 先消炎再拔 | 開立抗生素與止痛藥,進行局部沖洗,待 3-7 天發炎緩解後再約拔智齒。 |
| 輕度/慢性期 (微腫、隱隱作痛) | 視醫師評估 | 若醫師判斷拔智齒難度不高且能有效控制感染,有可能直接安排拔除。 |
| 反覆發炎 | 強烈建議拔除 | 只要曾發炎過,就代表該處是清潔死角,未來極高機率會再發作,建議趁不痛時盡快拔除。 |
(3) 發炎當下的緊急舒緩建議
在去看牙醫之前,你可以先這樣做:
- 生理食鹽水漱口:保持口腔清潔,沖掉智齒周圍的食物殘渣。
- 冰敷:敷在患側臉頰外側(冰敷 15 分鐘,休息 15 分鐘),可暫時減輕腫痛。
- 口服止痛藥:若疼痛難耐,可服用合法的市售止痛藥(例如:普拿疼),但這只是治標不治本。
⚠️ 特別警訊:
如果你發現發炎已經導致發燒、吞嚥困難、臉頰明顯腫大或是呼吸受阻,這可能是蜂窩性組織炎的徵兆,請務必立即掛急診或尋求專業牙科處理。
三、智齒與牙齒矯正:一定要拔牙嗎?
在牙齒矯正(例如:隱適美)時,智齒的處理至關重要,智齒在矯正三階段的影響如下:
1. 矯正前期:創造空間
(1) 拔牙矯正
通常的拔牙矯正就是拔掉「小臼齒」,如果智齒長的位置過於歪斜,導致很難清潔變成蛀牙,可以選擇在矯正前先將智齒拔掉。
如果對於拔掉小臼齒和智齒會害怕的話(一共要拔 8 顆牙),可以選擇錯開拔牙時間,陸續拔掉智齒和小臼齒。

(2) 不拔牙矯正
不拔牙矯正可以不拔掉小臼齒,透過拉橡皮筋將牙齒後移,但若智齒擋住去路,還是必須先拔除,否則牙齒矯正空間不足。

(不拔牙矯正-拔掉智齒為前牙挪出位置)
(3) 臉型微調
小下巴的臉型建議拔掉上顎智齒,讓上排後退,使下巴明顯;戽斗的臉型則拔除下顎智齒,減少下巴前凸感。
2. 矯正中期:避免干擾
矯正期間若智齒反覆發炎或磨到臉頰,會增加不適感並阻礙牙齒移動,此時醫師會建議即時移除。
3. 矯正後期:預防復發
長智齒會撞歪矯正後的牙齒嗎?答案是會的。牙根生長的力量會推擠前牙,若不拔除智齒且未規律配戴維持器,整齊的牙齒很容易被推亂,導致需要二次矯正。
牙齒矯正因為臉頰的連動關係,會讓智齒出現往前生長的趨勢,甚至牙齦韌帶也會把牙齒帶回原位,讓矯正好的牙齒又恢復原狀,所以牙齒矯正完成後都要固定配戴維持器。
這也是為什麼楊醫師會建議在牙齒矯正結束後,可以把智齒拔掉的原因。
當然,智齒也不是非拔不可,如果前面的大臼齒壞了,也可以將智齒往前移,但條件非常嚴格,也不是每個病患的情況都適合智齒移植的處理方式。
四、水平智齒一定要拔嗎?
水平智齒通常會擠壓鄰牙,造成嚴重的清潔死角。但智齒的生長類型不只有水平一種,以下整理各類智齒的風險等級,幫助你在看診前有初步概念:
| 智齒類型 | 生長狀態 | 風險等級 | 建議處理 |
| 垂直正位型 | 完全萌出、方向正確、有對咬牙 | 低風險 | 可保留,須確認清潔能力,每半年追蹤 |
| 垂直半阻生型 | 方向正確但僅露出部分牙冠 | 中風險 | 牙齦瓣覆蓋形成清潔死角,建議未發炎時預防性拔除 |
| 近心傾斜型 | 向前傾斜頂住第二大臼齒 | 高風險 | 食物殘渣極易嵌塞兩齒之間,建議盡早拔除 |
| 水平阻生型 | 智齒完全橫躺,牙冠朝向鄰牙 | 高風險 | 強烈建議拔除,長期擠壓會造成鄰牙牙根蛀蝕 |
| 遠心傾斜型 | 向後方(喉嚨側)傾斜 | 中高風險 | 萌出困難且易反覆發炎,視症狀決定拔除時機 |
| 完全埋伏型 | 完全埋在齒槽骨內,X 光才看得見 | 需個案評估 | 未擠壓神經或鄰牙可追蹤觀察;若形成囊腫則必須手術 |
專業建議:如果你的智齒是垂直智齒且生長空間充足、方向正常且能清潔乾淨,則可以考慮保留。但要注意,智齒即便沒長歪,仍可能因為位置太後方而導致蛀牙。只要智齒影響到鄰牙健康或產生牙周問題,無論痛不痛,都建議拔除。
五、拔智齒會痛嗎?膠原蛋白與保險相關問題
這是病患關於智齒最常問的 3 大問題:
1. 拔水平智齒痛多久?如何減緩?
(1) 過程不痛
拔智齒前會施打麻醉。術後 1~2 天會有不適感,建議術前先服用消炎止痛藥。
如果智齒的位置和角度刁鑽,像是令人聞風喪膽的水平智齒,或是埋得很深的智齒,因為修到比較多骨頭的情況,拔完智齒可能會相對比較疼痛。
不同手術方式的差異:現代牙科已有多種拔牙技術可供選擇,術後恢復時間差異明顯:
| 比較項目 | 傳統翻瓣手術 | 微創拔牙 | 超音波骨刀 |
| 傷口大小 | 較大 | 較小 | 最小 |
| 術後腫痛恢復 | 約 5–7 天 | 約 3–5 天 | 約 2–4 天 |
| 神經安全性 | 依賴醫師經驗 | 風險較低 | 選擇性保護軟組織,風險最低 |
| 費用 | 健保給付 | 部分自費 | 自費為主,費用較高 |
(2) 膠原蛋白
拔智齒後放入膠原蛋白,能協助形成血塊(血痂),加速傷口癒合並減少術後疼痛。關於智齒的膠原蛋白價格與費用,可加入祐民牙醫診所的官方 LINE,諮詢了解。
(3) 智齒保險
拔智齒屬於門診手術,若有投保實支實付醫療險,膠原蛋白通常是可以申請理賠的(視個人保單條款而定)。
2. 拔智齒臉會變小嗎?
雖然很多人後悔沒早點拔智齒,期待能瘦臉,但拔智齒主要是移除牙齒,對下顎骨架的改變有限,拔智齒臉變小的效果因人而異,不應作為主要拔牙動機。
3. 幾歲拔智齒最好?
20 幾歲是拔智齒的黃金期,此時傷口復原最快、疼痛感較少。即便到了 30、40 歲,只要智齒有發炎跡象,仍應處理。
六、智齒處理流程與建議表
| 智齒狀況 | 建議處理方式 | 原因 |
| 正常萌發、咬合正確 | 定期觀察 | 只要清潔確實,可作為備用牙。 |
| 水平智齒、長出一小角 | 建議拔除 | 易卡食物殘渣,導致鄰牙蛀牙。 |
| 智齒長在肉裡 / 未長出 | X 光評估 | 若推擠到神經或鄰牙牙根則需拔除。 |
| 不拔牙矯正中 | 必須拔除 | 需挪出後方空間讓前牙移動。 |
七、智齒常見問題 FAQ
Q1:智齒不痛就不用拔嗎?
不痛不代表沒問題。許多智齒相關的病變(如鄰牙牙根蛀蝕、慢性牙周破壞、齒源性囊腫)在早期完全沒有症狀。等到感覺疼痛時,往往連前方的第二大臼齒也需要治療甚至拔除。定期拍攝 X 光追蹤是最可靠的預防手段。
Q2:四顆智齒可以一次全部拔完嗎?
技術上可行,但需考量術後進食問題——若四側同時腫痛,飲食會非常困難。常見做法是分兩次處理:先拔同一側上下兩顆(方便另一側進食),間隔 2 至 4 週再拔另一側。若搭配舒眠麻醉,部分患者會選擇一次處理四顆以減少就診次數。
Q3:拔智齒後出現嘴唇麻木正常嗎?
下顎智齒的牙根與下齒槽神經非常接近,術後可能出現下唇或下巴暫時性麻木感。根據國際口腔外科文獻,暫時性神經感覺異常的發生率約為 1%–5%,絕大多數在數週至數月內自行恢復,永久性損傷的機率低於 1%。術前 CBCT 3D 影像評估可有效降低此風險。
Q4:懷孕期間智齒發炎怎麼辦?
孕期荷爾蒙變化會使牙齦組織更容易發炎。原則上,懷孕初期(前 3 個月)與後期(第 7 個月之後)應盡量避免牙科手術。若在懷孕中期(第 4 至第 6 個月)發生急性感染,可在婦產科醫師同意下進行必要治療。最佳策略是在備孕前完成口腔全面檢查與智齒處理。
Q5:智齒拔掉後旁邊牙齒會鬆動嗎?
不會。智齒與前方牙齒各有獨立的牙周韌帶與齒槽骨支撐,拔除智齒不會影響鄰牙的穩固度。反而是不拔除有問題的智齒,才可能因長期感染破壞鄰牙的牙周組織,導致鄰牙鬆動。
Q6:拔完智齒多久可以正常吃東西?
拔牙當天在麻藥退且止血後即可進食軟質食物。前 2–3 天建議以粥、優格、果泥為主,3 天後可逐漸恢復常溫正常飲食,但避免過燙、辛辣、或堅硬的食物。完全不受限制地進食,通常需要 1–2 週傷口表面癒合後。
楊大為醫師具備鑽石級隱適美矯正經驗,能從「口腔健康」與「齒列矯正」雙重角度為你判斷智齒的去留。透過數位 X 光精準定位,配合麻醉與膠原蛋白技術,讓你的拔牙過程安全又舒適。
你正在受智齒困擾嗎?還是擔心矯正後的牙齒被智齒推亂?加入祐民牙醫診所的官方 LINE,為你提供專業的諮詢服務。
祐民牙醫延伸知識閱讀:
智齒處理牙醫推薦|牙齒美好改變 祐民牙醫

