當我們提到拔牙齒,許多人會感到不安,不外乎是擔心會痛、害怕術後不適,或是煩惱拔牙齒後的傷口該如何處理。然而,在某些情況下,拔牙齒是維護口腔健康、矯正牙齒或植牙的重要步驟。楊醫師將帶你了解哪些情況必須拔牙齒,以及拔牙齒的注意事項與重建的選擇。
一、什麼情況下醫師會建議拔牙齒?
決定是否需要拔牙齒,通常是根據牙齒的損壞程度、功能性、是否影響周圍組織健康,以及是否為矯正或重建治療所需空間。了解這些原因,可以幫助你更坦然面對需要拔牙齒的情況。
1. 牙齒嚴重損壞無法保留
蛀牙或牙齒斷裂,如果嚴重影響到牙根,通常就難以挽救,必須拔牙齒處理。
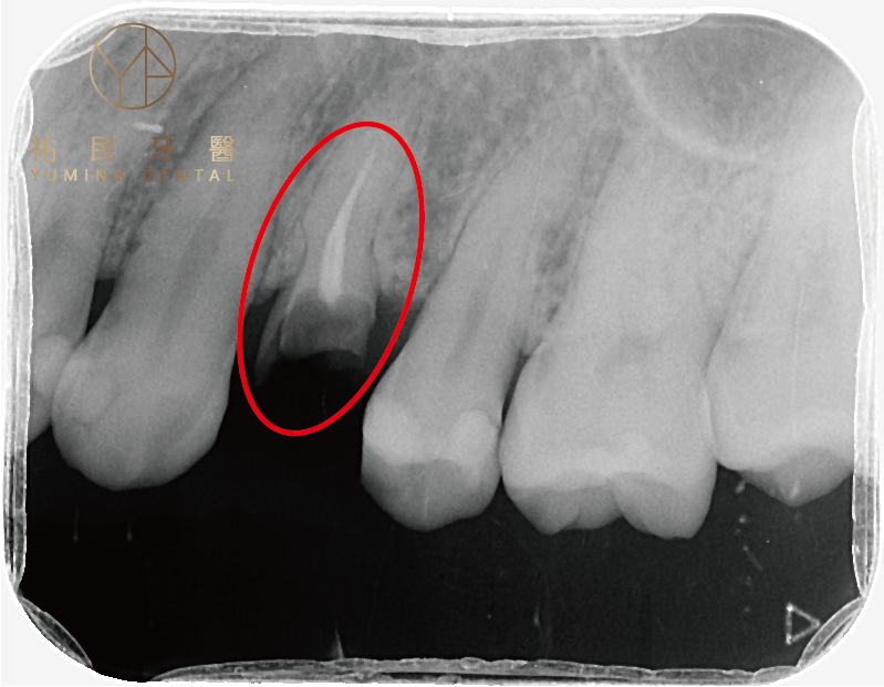
(1) 只剩殘根
當牙齒斷到只剩下牙根,卡在牙齦內,幾乎與牙齦齊平,這時殘留的牙根容易造成細菌感染,甚至在牙根尖周圍形成囊腫或膿包,嚴重影響咬合功能和口腔健康。為了避免感染擴大,必須將這些殘留的牙根拔掉。

▲從X光片可以看出只剩殘留的牙根,牙根會很容易引起感染,所以殘留的牙根必須拔掉,才不會造成牙周問題。

(2) 牙根斷裂或蛀到牙根
牙根斷裂一定要拔嗎?難道牙根斷裂沒辦法用假牙來補救嗎?若此時出現這種情況,就要看每個位置的牙齒所擁有的牙根數量都不同,例如:前排牙齒只有 1 個牙根、側排的牙齒有 2 個牙根,而後排的臼齒則有 3 個牙根。
能不能利用剩餘的牙根來重建牙齒,還必須看剩餘的牙冠完整度與兩側的牙齒結構是否健康,才能評估假牙重建,並且有機會將牙齒修復到最佳狀況。
牙根是牙齒承受力量並與骨頭連接的關鍵部分。無論是牙齒因啃硬物而水平或垂直斷裂,只要傷及牙根導致牙根無法受力或疼痛,即便進行昂貴的修復,也失去意義,因此只能拔牙齒處理。


2. 矯正牙齒的空間需求
矯正拔牙齒是為了騰出足夠的空間,讓牙齒能排列整齊,並將門牙收進來,同時有助於改變臉部線條和唇形。

(1) 拔除小臼齒
為了矯正牙齒創造空間,最常見的是拔除第 1 小臼齒,總共拔 4 顆牙,這種拔牙齒是必要的惡,但牙齒矯正的力量會將拔牙後的空間自然關閉,不會產生明顯的牙縫或黑三角。

(2) 智齒拔牙
在不拔小臼齒的矯正方案中,如果牙齒需要往後退來獲得空間,智齒可能會擋住後退的路徑,此時需要在矯正初期就將智齒拔除。即使是矯正結束後,有時也會建議拔智齒,避免牙齒向前凸或跑位。
3. 智齒長歪導致蛀牙和發炎
智齒一定要拔嗎?智齒是第三大臼齒,如果長歪、蛀牙、經常塞食物發炎,或導致牙周病,通常會建議直接拔掉智齒,以免影響口腔健康和鄰牙。遇到水平智齒等較複雜的情況,可能需要手術拔牙,但術後恢復通常很快。


4. 牙周病導致牙齒鬆動
牙周病拔牙是處理嚴重牙周問題的必要手段。如果牙周病導致骨頭被破壞超過一半,牙齒開始鬆動搖晃,動搖度超過某種程度,且治療效果不佳時,建議拔牙齒,以防牙周病擴散影響到鄰牙,並減少未來的治療難度。

5. 根管治療失敗或牙根尖病變
拔牙齒也可能發生在根管治療後。雖然醫師會盡力救牙,但若牙根底下的細菌感染範圍太大、超過牙根的一半,或是治療後反應不佳,甚至出現牙根尖囊腫,這顆牙齒可能就無法留住,必須拔除以徹底清除病灶。
6. 乳牙尚未換牙且已損壞
少數成人在 20 到 30 歲時仍有乳牙未換,若這顆乳牙已經嚴重損壞或不堪使用,醫師會建議拔牙齒。拔除後可以透過植牙或假牙來恢復正常的咀嚼功能與外觀。
7. 全口重建或特殊健康考量
在全口重建(例如:活動假牙或全口植牙)時,若口內僅存 3 – 5 顆稀疏且狀況不佳的牙齒,醫師會建議將全部牙齒拔掉,以利後續植牙能植到更理想的位置,或讓活動假牙能有更好的吸附力和穩定度。
當你有「拔牙齒、植牙」的需求,你可以加入祐民牙醫診所的官方 LINE,為你提供專業的諮詢服務。
二、拔牙齒的過程與你可能會有的疑問
許多人對於拔牙齒是否會痛感到擔心,其實現在的拔牙手術已經非常進步,過程多半舒適。
1. 拔牙齒會痛嗎?麻藥多久退?
在拔牙齒前,醫師會先施打局部麻醉。在麻醉藥效作用後,整個拔牙齒過程中,你基本上不會感到明顯疼痛,只會感覺到醫師在搖你的牙齒或施加壓力。
麻醉藥效通常會在 2 到 4 小時內退去,此後可能會有些許不適或腫脹感,屬於正常現象。醫師會開立消炎止痛藥物,請按時服用以緩解拔牙齒後的疼痛。若超過 1 週仍有嚴重疼痛或發炎紅腫,請盡速回診檢查。
2. 拔智齒前可以吃東西嗎?
拔智齒前是否可以吃東西,取決於你採用的麻醉方式。
局部麻醉可以吃一點東西,建議在手術前 1 – 2 小時吃適量的正餐,預防低血糖。
全身麻醉或靜脈鎮靜則絕對不能吃東西,通常需要術前禁食、禁水 6 – 8 小時,原因是,麻醉會抑制身體的反射動作,如果胃部有食物,術中可能發生嘔吐並吸入肺部,造成致命的「吸入性肺炎」。
3. 牙齒麻藥還沒退可以吃東西嗎?
不可以在牙齒麻藥還沒完全退去時吃東西,尤其是需要咀嚼的食物,避免咬傷口腔組織、燙傷,因為麻醉藥會讓你的嘴唇、舌頭、臉頰或牙齦完全失去感覺。
4. 什麼情況不能拔牙?拔牙齒前的這些疾病不建議施打麻藥
拔牙齒前若是有任何已知疾病,需要告知醫師,以利後續手術進行,雖然拔牙齒聽起來是小手術,但還是要做好術前評估,讓醫師能對療程作出精準的判斷。
若你有以下症狀則不建議施打麻藥,並請在拔牙齒前告知醫師,以免發生危險:
- 心絞痛
- 血管硬化
- 嚴重低血壓
- 嚴重高血壓
- 急性心衰竭
- 甲狀腺毒症
- 嗜鉻細胞瘤
- 血液凝固障礙
- 急性充血性青光眼
- 糖尿病代謝情況失常
- 心臟有嚴重的神經脈動及傳導系統的障礙
5. 拔牙齒如何進行?
拔牙齒前會先拍攝 X 光片來確認牙位及牙根狀況。一般的拔牙齒,醫師會使用牙鉗將牙齒拔出。若遇到較複雜的情況,例如:水平智齒或牙根斷裂,可能需要先切開牙齦,並將牙齒切成幾塊後再取出。
在縫合傷口前,可選擇放入膠原蛋白或骨粉,有助於傷口癒合,維持骨頭量,並讓術後過程更舒適。
6. 拔牙齒後的處理方式
拔牙齒後留下的洞需要處理,否則周圍牙齒可能會東倒西歪,影響咬合功能。
(1) 什麼都不做
這是最消極的做法,長期下來,缺牙處兩旁的牙齒會開始傾倒,對咬牙也會往下生長,影響整個口腔的咬合功能。
(2) 製作假牙(牙橋)
在缺牙處做假牙,可以穩定鄰牙,但需要修磨前後健康的牙齒作為支柱。如果缺牙處是最後一顆臼齒,則無法做牙橋。
(3) 植牙
這是楊醫師最推薦的方式。利用植牙恢復功能性,不需修磨前後健康的牙齒,能完整保留健康的齒質。雖然需要一段時間進行植牙手術,但功能性和完整性是最佳的拔牙齒後重建方式。
當你有「拔牙齒、植牙」的需求,你可以加入祐民牙醫診所的官方 LINE,為你提供專業的諮詢服務。
三、拔牙齒後的注意事項與飲食建議
拔牙後注意事項的正確執行,是傷口順利癒合的關鍵,可以減少拔牙後腫脹、感染或乾槽症的風險。
1. 拔牙齒傷口癒合的時間
以下是拔牙齒的傷口從止血到骨頭長回來的詳細時間軸:
(1) 止血期:術後 1 小時內
此時傷口形成穩定的血塊,這是所有後續癒合的基礎。另外,此時最怕血塊脫落(乾槽症)。
(2) 軟組織初步癒合:術後 7 到 14 天
傷口表面的牙齦肉開始生長,並逐漸覆蓋住拔牙齒的窩洞。如果有縫線,通常會在第 7 到 10 天拆除。
(3) 功能性癒合:術後 3 到 4 週
傷口表面已完全被牙齦覆蓋,疼痛、腫脹已消退。雖然窩洞內部的骨頭還沒長好,但已經可以恢復大部分的正常飲食。
(4) 骨頭完整再生:術後 3 到 6 個月
拔牙窩洞內部會逐漸被新生的齒槽骨填滿,這是植牙評估的最佳時機。
2. 傷口護理要點
(1) 輕咬紗布止血
拔牙齒後請輕咬紗布 30 分鐘至 1 小時,直到流血狀況停止。拔牙齒流血是正常的,口水中有血絲也是正常現象。如果持續流血不止,請盡速聯繫診所。
(2) 冰敷與熱敷
拔牙齒後 72 小時內請冰敷,可減緩腫脹,每冰敷 15 分鐘休息 15 分鐘。術後 72 小時後,若仍有腫脹現象,請改用溫熱濕毛巾熱敷,幫助消腫。
(3) 避免刺激傷口及劇烈運動
術後 2 週內避免用手或其他外力按壓術區,避免頻繁說話拉扯傷口,影響癒合速度。這段期間,請多休息、作息正常。
(4) 按時服用消炎止痛藥物
麻醉藥效退去後,請按醫師吩咐按時服用消炎止痛藥物,切勿自行停藥。
(5) 清潔時避開傷口
拔牙齒後刷牙時,請勿直接碰觸術區。可以使用常溫生理食鹽水輕輕漱口,或用棉花棒沾水清潔手術區域,避免對傷口過度清潔造成感染。
3. 飲食與生活禁忌
(1) 拔牙齒可以吃東西嗎?多久可以吃東西?拔完牙還在流血可以吃東西嗎?
拔牙齒可以吃東西。麻醉藥效(通常 2 到 4 小時)退去後即可正常飲食,避免麻醉區域沒有知覺而咬傷口腔。
如果拔完牙還在流血時,建議暫時不要吃東西,至少要等到傷口成功止血後才能開始少量進食。
(2) 拔完牙齒可以吃什麼?
拔牙齒後的當天建議以流質、軟性及冰涼好入口的食物為主,例如:優格、冰淇淋、地瓜泥、粥等,並放涼後再入口。口味上以清淡為主,避免刺激性食物。
(3) 拔牙後多久可以喝水?
醫師通常會在拔牙齒後,請你緊咬紗布 30 分鐘到 1 小時,這段時間是讓傷口快速止血、形成穩定血塊的關鍵期。在這段緊咬紗布的時間內,建議不要喝水,以免影響止血。紗布拿掉後,如果傷口沒有持續滲血,就可以開始少量喝水了。
(4) 禁止吸管與吸吮
拔牙齒後請勿用吸管喝東西,因為吸食動作會在口腔中產生負壓,容易導致幫助傷口復原的血塊脫落,阻礙傷口癒合,甚至導致乾槽症。
(5) 避免刺激性食物與習慣
抽菸、喝酒、堅果、油炸類、辛辣料理、咖啡因飲品等都會刺激傷口,阻礙癒合並增加感染風險,應盡量避免。
四、拔牙齒要多少錢?費用與保險理賠
拔牙齒的費用會因牙齒狀況、手術複雜度而異,例如:智齒如果是水平阻生需要複雜手術,費用會較高。
1. 健保與自費項目
(1) 一般拔牙齒
大多數簡單的拔牙齒在健保給付範圍內。
(2) 膠原蛋白與骨粉
在拔牙齒後放膠原蛋白或骨粉屬於自費項目,不在健保給付範圍,但有助於傷口癒合和骨頭維持。
2. 拔牙齒保險有理賠嗎?
拔牙齒可以申請保險嗎?建議直接向你的保險公司諮詢。一般牙科治療多屬健保範圍,但若是複雜手術拔牙齒或搭配自費項目(例如:膠原蛋白、補骨粉),則需確認你的醫療險或手術險是否有涵蓋相關理賠項目。
楊醫師希望這篇關於拔牙齒的詳盡指南,能讓你對拔牙齒的恐懼感降低。如果你有任何拔牙齒的需求,例如:困難智齒或矯正拔牙,你可以加入祐民牙醫診所的官方 LINE,為你提供專業的諮詢服務。
五、拔牙齒 FAQ
以下整理一些病患對拔牙齒的常見疑問,減少你對拔牙齒的困惑,並在拔牙齒的前後過程中都更加順利。
1. 拔牙齒流血多久?
正常的拔牙齒傷口,30 分鐘至 1 小時內,需要持續輕咬紗布來壓迫傷口,這段時間內,拔牙齒流血的情況會顯著減少。
拔牙齒後 24 小時內,口水裡帶有少量血絲是正常的現象。
2. 拔牙齒會痛幾天?
大部分人在拔牙齒後 3 到 5 天內就不會感覺到明顯疼痛。
3. 拔蛀牙費用多少?
如果是一般蛀牙,通常都屬於健保給付的項目。你只需要負擔診所的掛號費(通常在數百元內)即可拔牙齒。
但如果蛀牙部位特殊(例如深埋的智齒)、或你想自費加速復原,總費用就會加上你選擇的自費項目。
4. 可以自己拔牙齒嗎?
不可以自己拔牙齒,自己拔牙齒是非常危險的行為,無論是蛀牙還是鬆動的牙齒,都不應該嘗試自己動手拔牙齒。
5. 拔牙齒可以刷牙嗎?
拔牙齒後是可以刷牙的,但你必須非常小心,特別是要避開剛拔完牙的傷口區域。
6. 拔智齒刷牙怎麼刷?
拔智齒後 24 小時內,請絕對不要用牙刷直接碰觸智齒傷口區域,只要輕柔地刷洗其他健康的牙齒,尤其是拔牙部位前方的牙齒內外側;並且,請勿用力漱口、吐口水或使用吸管,以防止血塊脫落(造成乾槽症);讓水或生理食鹽水自然在口中流動,然後輕輕讓其流出即可。
拔智齒 24 小時後,就可以開始輕柔地清潔拔智齒的區域,防止食物殘渣和細菌堆積。
拔智齒 7 天後,逐漸恢復正常刷牙。
7. 為什麼拔智齒會痛?
智齒通常長得較深、較歪(例如水平智齒),拔除過程可能需要切開牙齦、移除一些周圍骨頭,甚至將智齒切成小塊取出。
這些步驟會對周圍的軟組織和骨頭造成創傷,術後身體會啟動發炎反應來修復這些受傷的細胞,發炎反應就是引起疼痛的主要原因。
8. 拔牙齒臉會變小嗎?
拔牙齒本身並不會改變你的骨骼結構(例如:顴骨或下顎骨),但拔牙矯正可以透過改變牙齒排列和咬合位置,達到改變臉型的效果。
9. 拔牙齒可以捐血嗎?
在拔牙齒或接受其他口腔外科手術(例如拔智齒)後的 7 天內,通常不建議捐血。這是為了確保傷口已經初步癒合,並且沒有發生感染或發炎的現象。
如果你拔除的是複雜的智齒,或者接受了其他較大的牙科手術(例如:牙根尖手術),又或者拔牙後有發燒、嚴重腫脹、持續性疼痛等感染症狀,醫師開立了抗生素給你服用,你可能需要等待更長的時間。
如果有服用抗生素或其他藥物,建議等到療程結束且症狀完全解除後再過 7 天,或依照捐血中心的指示來判斷。
10. 拔牙齒可以抽菸嗎?
拔牙齒後不可以抽菸,尤其是在拔牙齒後的 48 小時到 7 天內。有些人在拔牙第二天就開始抽煙,這真是非常危險的行為。
11. 拔牙齒可以喝酒嗎?
拔牙齒後不可以喝酒,因為酒精會對拔牙齒的傷口癒合產生多重不利影響,因此應該避免。
12. 拔牙齒可以喝咖啡嗎?
拔牙齒後不建議喝咖啡,主要考量點在於咖啡的溫度和咖啡因成分,咖啡因是一種刺激性物質,可能增加術後初期身體的不穩定性。
如果是熱咖啡,拔牙齒後 24 到 48 小時內,最大的禁忌就是熱飲。
如果是冰咖啡,也要避免使用吸管。
13. 拔牙齒可以吃魚油嗎?
拔牙齒不可以吃魚油,因為魚油富含 Omega-3 脂肪酸,其中一個廣為人知的作用是它具有抗凝血的特性。然而,拔牙齒後,傷口需要依靠身體的凝血機制快速形成血塊來止血。
14. 拔牙齒可以吃香蕉嗎?
拔牙齒後可以吃香蕉。
15. 拔牙齒可以打疫苗嗎?
通常建議在拔牙齒後,等待一段時間再接種疫苗,以避免症狀混淆並確保身體在最佳狀態。
16. 拔牙齒可以搭飛機嗎?
如果只是一般簡單的拔牙齒(例如:鬆動的蛀牙或牙根),且沒有術後併發症,短時間內搭飛機通常是可以的。
然而,如果是複雜的拔智齒手術,或你術後有明顯的腫脹和疼痛,則強烈建議延後搭飛機。因為,飛機在起降過程中,機艙內的氣壓會產生變化,雖然幅度不大,但對於尚未完全穩定的拔牙傷口來說,可能會造成不適。
17. 戴牙套可以拔牙齒嗎?
戴牙套可以拔牙齒。
18. 牙齒拔掉不補會怎樣?
牙齒拔掉不補可能會:鄰牙傾倒與移位、對咬牙過度萌出、齒槽骨萎縮、臉型改變、咀嚼功能下降。
19. 牙齒拔掉多久要植牙?
取決於你的牙齒狀況、齒槽骨健康度,以及採用的植牙策略。
如果拔牙齒的傷口沒有發炎或感染、齒槽骨厚度與高度足夠、拔牙窩洞大小合適。在拔牙齒的當下,立即將植體(人工牙根)植入牙槽骨中,這就是所謂的「即拔即種」。
拔牙齒的傷口有發炎、牙周病、骨頭缺損、流失較多者,會在補骨、補肉後再植牙,大約要 10 個月的時間。
20. 拔牙齒可以吃薑母鴨嗎?
拔牙齒後 7 天內不可以吃薑母鴨,因為高溫、酒精、辛香都會刺激到傷口的復原。
21. 拔牙齒多久可以用吸管?
拔牙齒後至少要間隔 5 到 7 天,才可以考慮使用吸管。
22. 拔牙齒可以全身麻醉嗎?
拔牙齒可以全身麻醉。值得注意的是,拔牙齒的常規方式是局部麻醉;如果你極度害怕,可以考慮費用較低、風險較小的舒眠麻醉;只有在特殊或複雜情況下,才會考慮全身麻醉。
23. 拔牙齒血流不止怎麼辦?
立即聯繫診所,告知你的情況,並且回診檢查。
24. 拔牙齒會發燒嗎?怎麼辦?
拔牙齒後在極少數情況下可能會發燒,但這並非正常的術後反應。拔牙齒後,常見的正常反應是疼痛和腫脹。如果出現發燒,通常是一個需要提高警覺的信號。
拔牙齒後如果出現輕微發燒,可以先觀察並多休息;但一旦出現中度以上發燒或伴隨其他嚴重不適症狀,請立即回診尋求專業醫師的協助,因為這可能意味著傷口有感染的風險。
25. 拔牙齒一定要放膠原蛋白嗎?
如果是智齒部位,因為之後多半不會再植牙,所以拔牙齒後最多人做的應該就是只放膠原蛋白。
膠原蛋白可以幫助止血、保護血塊、促進傷口癒合等等。
但是當智齒外的牙齒拔掉後考慮要植牙,標準流程應該會是:先放骨粉,再放膠原蛋白。骨粉可以幫助骨頭的量維持,方便之後的植牙療程。
最後,當你有「拔牙齒、植牙」的需求,你可以加入祐民牙醫診所的官方 LINE,為你提供專業的諮詢服務。
26. 拔下來的牙齒可以幹嘛?
除了紀念與保存,拔下來的牙齒(健康的智齒或因矯正拔除的小臼齒)可以製成自體骨粉。
27. 拔牙需要縫合嗎?
拔牙不一定要縫,無論是智齒、臼齒、其他牙齒,是否需要縫合取決於拔牙的難易度、傷口的大小和深度,例如:水平智齒或深埋的智齒。
28. 牙齒沒拔乾淨怎麼辦?
牙齒沒拔乾淨是一個需要立即處理的狀況,因為殘根留在牙槽骨內可能會引發感染和後續問題。發現殘根的最佳處理方式是盡快回診,由專業醫師透過二次手術徹底清除,以確保傷口能夠順利、沒有後顧之憂地癒合。
六、拔牙齒為什麼選擇祐民牙醫?
祐民牙醫重視現代數位化診斷工具對拔牙齒的重要性:
1. 先進設備
祐民牙醫使用 iTero 5D plus 口腔掃描機、斷層掃描(CT)對拔牙齒精準評估,而非僅靠肉眼或傳統 X 光。
2. 仿真瓷塊修復
若牙根尚未完全損毀,可以使用「仿真瓷塊」而非傳統假牙來救回牙冠,這是一種高度生物相容性的選擇,因此,就不一定要拔牙齒了。

祐民牙醫延伸知識閱讀:
植牙後馬上使用?拔牙當天立刻植牙! 即拔即種 不是每個人都可以!
台北牙醫推薦|牙齒美好改變 祐民牙醫

