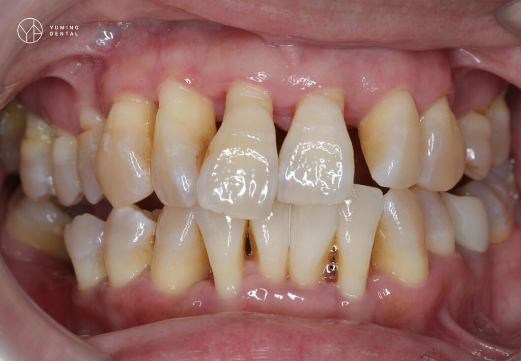
早晨刷牙時,您是否曾突然發現牙齒似乎變長了?漱口水流過齒縫的那一瞬間,一陣酸軟感直衝腦門;仔細照鏡子一看,牙齦邊緣似乎比以前退後了一些,牙縫間甚至透出了尷尬的黑色空隙(俗稱「黑三角」,Black Triangle)。這就是典型的「牙齦萎縮」。
許多人發現這個問題後,第一時間的反應往往是焦急地上網搜尋:「牙齦萎縮吃什麼補得回來?」、「有沒有推薦的牙齦萎縮維他命?」。這反映了我們對於透過「食補」來解決健康問題的渴望。然而,這是一個需要被誠實面對的醫學真相:單靠「吃」,已經物理性消失的牙齦組織通常無法像頭髮一樣自己長回來。
但是,這並不代表飲食沒有用。正確的營養攝取是防止災情擴大的核心防線,它能強化剩餘的牙周組織,為後續的治療打好地基。這篇文章將為您拆解牙齦萎縮的底層邏輯,從關鍵營養素的攝取清單、營養師推薦的一日菜單,到牙醫診間的專業治療選項,用最詳盡的篇幅,幫您守住口腔健康的最後一道防線。
一、 為什麼牙肉會「離家出走」?深入解析牙齦萎縮的四大成因
在探討「吃什麼」之前,我們必須先理解「為什麼會萎縮」。牙齦萎縮並非一夜之間發生的,它是口腔環境長期處於壓力或發炎狀態下的病理結果。根據美國牙周病學會的定義,牙齦邊緣向牙根方向位移,導致牙根暴露,就是牙齦萎縮。這不僅影響美觀,更會導致敏感與蛀牙風險大增。
1. 牙周病:無聲的組織破壞者
這是全口牙齦萎縮最常見的頭號兇手。當口腔清潔不當,牙菌斑會堆積在牙齦溝內並鈣化形成牙結石,細菌釋放的毒素會引發持續性的發炎反應。為了躲避細菌的侵蝕,牙齦下的齒槽骨會開始吸收、下降;這就像房子的地基(齒槽骨)流失了,上面的覆蓋物(牙齦)自然會跟著塌陷。如果您發現刷牙流血、牙齦紅腫,這通常是萎縮的前兆。
2. 物理性創傷:刷牙太用力與咬合傷害
許多注重衛生的人反而容易患上牙齦萎縮,原因在於「過度清潔」。使用硬毛牙刷或採取橫向鋸木頭式的暴力刷法,會直接磨損脆弱的牙齦邊緣與琺瑯質,產生「齒頸部刷耗」(Cervical Abrasion)。此外,夜間磨牙或習慣性咬緊牙關,會將巨大的咬合力量傳導至牙齒頸部,造成牙齒微結構斷裂(裂耗),牙齦因受力過大而被迫退縮。
3. 先天體質:亞洲人的「薄牙齦」宿命
根據加州大學舊金山分校牙醫學院的研究統計,亞洲人普遍屬於「薄型牙齦」(Thin Biotype)。這意味著我們的牙肉天生比較薄,且覆蓋在牙根上的骨頭常有裂縫(Dehiscence)或穿孔(Fenestration)。這種先天結構使得亞洲人在面對矯正拉力、細菌攻擊或外力刺激時,抵抗力較弱,萎縮的速度往往比西方人更快。
4. 不良的贋復物與矯正後遺症
如果假牙邊緣製作不密合,或者補牙時侵犯了牙齦的「生物寬度」(Biologic Width),都會造成清潔死角與慢性發炎,進而導致局部萎縮。同樣地,在牙齒矯正過程中,若移動速度過快或將牙齒移出齒槽骨範圍,也極易發生牙根外露的狀況。
二、 牙齦萎縮吃什麼?四大護齦營養素的科學清單
雖然食物不能讓牙肉「無中生有」地再生,但特定的營養素能強化結締組織,讓剩下的牙齦「變強壯」,並降低發炎反應,減緩破壞速度。以下是針對牙齦萎縮患者設計的飲食策略與維他命建議:
1. 維生素 C:牙齦的膠原蛋白製造機
牙齦的主要成分是膠原蛋白,而維生素 C 正是合成膠原蛋白不可或缺的輔酶。一旦缺乏維生素 C,膠原蛋白合成受阻,牙齦微血管壁會變得脆弱,容易出血、鬆軟,這就是早期水手常得的「壞血病」原理。對於現代人而言,充足的維生素 C 能幫助牙周韌帶修復,讓牙肉更緊密地貼合牙齒,提升防禦力。
- 推薦食物: 紅心芭樂(維生素 C 含量極高)、奇異果、釋迦、柑橘類、甜椒、深綠色蔬菜。
- 攝取建議: 盡量食用原型水果而非果汁,並在切開後盡快食用,以避免維生素 C 氧化流失。
2. 鈣質與維生素 D:鞏固牙齒的地基
牙齦萎縮的背後,往往伴隨著「齒槽骨流失」。想像牙齒是樹,齒槽骨是土,牙齦是草皮;如果土流失了,草皮一定會塌陷。因此,補鈣就是補地基。鈣質是骨骼的主要原料,而維生素 D 則是幫助鈣質吸收的關鍵搬運工,兩者缺一不可。研究顯示,維生素 D 濃度不足的患者,罹患牙周病的風險較高。
- 推薦食物: 乳製品(牛奶、優格、起司)、板豆腐、黑芝麻、小魚乾。
- 維生素 D 來源: 鮭魚、鯖魚、經日曬的乾香菇,以及適度的戶外日曬。
3. Omega-3 脂肪酸:口腔內的天然滅火器
牙周病本質上就是一場慢性的「發炎反應」。Omega-3 脂肪酸具有強大的抗發炎效果,能抑制牙齦組織內的發炎因子,減少紅腫、流血的症狀。對於已經有牙周病導致萎縮的患者,攝取足夠的 Omega-3 能輔助控制病情,避免組織進一步被破壞。
- 推薦食物: 深海魚類(鮭魚、鮪魚、秋刀魚)、亞麻仁油、核桃、奇亞籽。
4. 抗氧化劑(輔酵素 Q10 與兒茶素):細胞的能量來源
牙齦組織代謝速度快,修復過程需要大量能量。輔酵素 Q10 能提升牙齦細胞的線粒體功能,增強修復能力;而綠茶中的兒茶素(Catechins)則被證實能抑制牙周致病菌的活性,減少牙菌斑的堆積。
- 推薦食物: 豬心、牛肉(適量)、花椰菜、綠茶(建議無糖)。
三、 實用篇:營養師推薦的「強健牙周」一日菜單
很多患者問:「我知道要吃維他命 C 和鈣,但具體該怎麼吃?」以下這份菜單設計,融合了高抗氧化、高纖維與低糖的原則,幫助您在日常生活中落實護齦飲食。
早餐:高鈣抗炎開啟一天
-
- 無糖希臘優格(豐富鈣質與益生菌,改善口腔菌叢)
- 奇亞籽 1 匙(Omega-3 來源,抗發炎)
- 奇異果 1 顆(維生素 C 修復膠原蛋白)
- 飲品: 溫豆漿或全脂牛奶
午餐:咀嚼訓練與纖維補充
-
- 主食: 五穀米或糙米(需細嚼慢嚥,促進唾液分泌,唾液是最好的天然漱口水)
- 主菜: 乾煎鯖魚或鮭魚(豐富維生素 D 與 Omega-3)
- 配菜: 深綠色蔬菜(如菠菜、地瓜葉,補充維生素 C 與葉酸)
- 湯品: 香菇雞湯(香菇含維生素 D)
晚餐:輕食修復低負擔
-
- 主食: 蒸地瓜(連皮吃,纖維豐富)
- 主菜: 豆腐料理(植物性鈣質)
- 配菜: 甜椒炒肉絲(甜椒是維生素 C 寶庫)
- 水果: 紅心芭樂切片(切忌打成果汁,避免血糖飆升與纖維流失)
四、 牙齦萎縮怎麼辦?不同階段的黃金救援法則
發現牙齦萎縮時,千萬不要只是買條抗敏牙膏就了事,也不要誤以為吃了維他命就會好。根據萎縮的嚴重程度,處理方式天差地遠。我們可以參考牙醫界經典的「米勒分類法」(Miller’s Classification)概念,將治療策略分為三個階段:
第一階段:輕微萎縮(黃金逆轉期)
症狀判斷: 刷牙時偶爾感到酸軟,牙齒看起來稍微變長,但牙縫處的牙齦乳頭仍然填滿,沒有明顯的黑三角空隙。 治療策略: 此階段雖然牙肉無法自然長回原位,但可以透過改變習慣來「完全停止惡化」。
- 工具升級: 立即更換為「超軟毛」牙刷,避免使用硬毛。
- 修正刷法: 嚴格執行「貝氏刷牙法」(Bass Method),刷毛對準牙齦溝呈 45 度角,輕微震動清潔,絕對禁止橫向用力刷洗。
- 牙膏選擇: 選用含硝酸鉀或封填劑的敏感性牙膏,解決酸軟問題,但需理解牙膏無法讓牙肉生長。
第二階段:中度萎縮(醫療介入期)
症狀判斷: 喝冰水會刺痛,牙根顏色變深(黃色的牙本質露出),且牙齦邊緣明顯退後。 治療策略: 單靠居家護理已經不夠,必須考慮進行「牙根覆蓋術」(Gum Graft)等手術治療。
- 自體結締組織移植(CT Graft): 醫師會從您的上顎內側取一塊結締組織,像補丁一樣縫合在萎縮的牙根上。這是目前金標準的手術方式,存活率最高,術後顏色與形狀最自然。
- 水雷射輔助治療: 利用雷射能量(如 Er:YAG Laser)殺菌並刺激組織再生,傷口比傳統手術小,流血量少,恢復期更短,非常適合怕痛的患者。
第三階段:重度萎縮(挽救美觀期)
症狀判斷: 齒槽骨嚴重流失,牙齒可能出現搖晃,牙縫間出現巨大的「黑三角」,說話時容易噴口水或漏風。 治療策略: 到了這個階段,因為地基(骨頭)已經流失,單純補肉的成功率大幅下降,通常屬於米勒分類的第三或第四類。
- 牙周再生手術: 嘗試放入骨粉或牙周組織再生凝膠(如 Emdogain),試圖讓部分骨頭與牙周組織長回來,但效果視個人條件而定。
- 陶瓷貼片或全瓷冠: 如果無法透過手術補肉,則改用修復學的方法。利用陶瓷貼片改變牙齒的形狀,將原本的空隙「遮住」,解決美觀與塞牙縫的問題。
- 牙齦義齒: 在極端情況下,製作帶有粉紅色假牙齦的假牙,直接遮蓋缺陷。
五、 牙齦萎縮FAQ
針對網路論壇(如 PTT、Dcard)上網友最常詢問的疑難雜症,我們整理了以下專業解答,幫助您釐清觀念。
Q1:市面上的「牙齦護理牙膏」真的有效嗎?哪一種推薦?
A: 需釐清「護理」的定義。市售牙齦護理牙膏(如含有傳明酸、甘草次酸、IPMP 殺菌成分)主要功能是「消炎、止血、殺菌」,能改善牙齦紅腫流血,預防牙周病惡化。但對於「已經萎縮、牙肉退後」的物理性狀態,牙膏無法讓肉長回來。推薦選擇: 選用含氟量超過 1000ppm 且刷毛磨圓率高的產品,重點在於配合正確刷牙習慣,而非依賴牙膏神效。
Q2:聽說「油漱法」(Oil Pulling)可以治療牙齦萎縮?
A: 油漱法源自印度阿育吠陀醫學,利用油將親油性的細菌帶走。雖然有助於減少口腔細菌數量,但目前沒有任何科學證據顯示油漱法能讓萎縮的牙齦再生。它只能作為輔助清潔(類似漱口水),絕對不能取代刷牙和牙線。
Q3:我才 20 幾歲就牙齦萎縮,是不是沒救了?
A: 年輕型牙齦萎縮通常與「矯正副作用」、「刷牙太用力」或「先天牙齦薄」有關。好消息是,年輕人的骨頭修復能力較佳。若處於第一或第二階段(牙縫未開),透過微創的「牙根覆蓋術」治療,成功率與美觀恢復度通常非常高。建議盡早諮詢牙周專科醫師。
Q4:牙齦萎縮可以做牙齒矯正嗎?
A: 風險較高,但非絕對不行。在矯正前,必須先控制好牙周病,並由醫師評估牙齦厚度。若牙齦過薄,醫師可能會建議先進行「補肉手術(角化牙齦移植)」,把地基加厚加寬後,再開始移動牙齒,以避免矯正過程中牙齦崩塌。
六、 關於牙膏、偏方與日常護理的常見迷思
除了上述問題,還有幾個必須釐清的觀念誤區,避免大家走冤枉路:
迷思一:「用鹽水漱口可以治療牙齦萎縮?」
真相: 鹽水確實有暫時殺菌和稍微消腫的作用,但它無法去除已經硬化附著在牙根上的牙結石,也無法刺激組織再生。長期使用高濃度的鹽水甚至可能導致口腔黏膜脫水或刺激。請將鹽水視為一種輔助清潔,而非治療手段。
迷思二:「只要認真刷牙,牙齦萎縮就會好?」
真相: 認真刷牙是基礎,但如果刷牙方式錯誤(太用力),反而會加重萎縮。此外,若是因為牙周病導致的骨頭破壞,單靠刷牙是刷不掉牙齦深處的牙結石的,必須依靠牙醫師進行深層的「牙根整平術」才能解決問題。
結語:終極牙齦健康行動清單
不想讓牙齒在 40 歲就搖搖欲墜,或者希望目前的萎縮狀況不要再惡化,請務必落實以下的行動清單:
- 定期維修是關鍵: 養成每半年洗牙的習慣,清除那些刷不掉的牙結石。建議請求醫師進行「牙周囊袋探測」,這是判斷牙齦是否處於發炎或萎縮狀態的黃金指標。
- 善用工具輔助: 除了牙刷,請務必學習使用「牙間刷」與「牙線」。牙間刷對於清潔牙齦萎縮後的牙縫特別有效,但選對尺寸至關重要(標準是放入牙縫不卡且不鬆)。沖牙機可以作為輔助,但不能完全取代物理性的牙線清潔。
- 戒除不良習慣: 抽菸是牙周健康的殺手,尼古丁會讓牙齦血管收縮,導致養分無法輸送,吸菸者的牙齦萎縮速度往往是常人的數倍,且治療效果較差。
- 專業評估: 如果您發現牙根外露已影響生活(敏感、美觀),請尋求牙周病專科醫師的協助。早期的牙根覆蓋術成功率極高,不要等到骨頭都流失了才後悔莫及。
牙齦萎縮是歲月與生活習慣在口腔留下的刻痕,雖然它是不可逆的生理變化,但並不代表我們束手無策。「吃對食物」能打好地基,「刷對牙齒」能減少傷害,「找對醫生」能修補缺陷。現在拿起鏡子檢查一下您的牙齦邊緣,如果發現異狀,預約牙醫就是您此刻能做的最好投資。這不是為了美觀,是為了讓您到了 80 歲,還能大口享受美食,擁抱健康的生活。
祐民牙醫延伸知識閱讀:
智齒 一定要拔嗎?智齒發炎的5個症狀,怎麼知道自己該拔智齒了?
關於 牙周病 你必須知道的事:成因、症狀、如何治療、費用一次瞭解

